Otrzymanie wyników badań krwi z informacją o podwyższonym poziomie limfocytów i obniżonym neutrofili może być źródłem niepokoju. Wiem z doświadczenia, że w takiej sytuacji wiele osób natychmiast zaczyna szukać informacji w internecie. Ten artykuł ma za zadanie rozwiać Twoje obawy, wyjaśnić, co dokładnie oznacza taki wynik, jakie są jego najczęstsze przyczyny oraz jakie kroki powinieneś podjąć w dalszej kolejności, aby uzyskać rzetelną diagnozę i spokój ducha.
- Limfocyty i neutrofile to kluczowe białe krwinki, odpowiadające za odporność organizmu.
- Taki wynik morfologii najczęściej wskazuje na aktywną infekcję wirusową (np. przeziębienie, grypa, mononukleoza).
- Dla prawidłowej interpretacji kluczowe są wartości bezwzględne krwinek, a normy różnią się dla dorosłych i dzieci.
- U dzieci podwyższone limfocyty i obniżone neutrofile to bardzo częsta i zazwyczaj fizjologiczna reakcja na infekcje.
- Każdy nieprawidłowy wynik należy skonsultować z lekarzem, który może zalecić powtórzenie badania.
- W rzadkich przypadkach, zwłaszcza przy utrzymujących się dużych odchyleniach, mogą wskazywać na inne schorzenia, w tym autoimmunologiczne lub hematologiczne.

Gwardia odporności pod lupą: Czym są limfocyty i neutrofile?
Zanim zagłębimy się w interpretację Twoich wyników, warto zrozumieć, czym właściwie są limfocyty i neutrofile oraz jaką rolę odgrywają w naszym organizmie. To dwie z wielu typów białych krwinek, czyli leukocytów, które stanowią kluczowy element naszego układu odpornościowego, chroniąc nas przed niezliczoną liczbą patogenów.
Neutrofile: Twoja pierwsza linia obrony w walce z bakteriami
Neutrofile, inaczej granulocyty obojętnochłonne, to prawdziwi żołnierze pierwszej linii frontu. Stanowią najliczniejszą grupę białych krwinek, odpowiadając za około 60-70% wszystkich leukocytów w krwiobiegu. Ich głównym zadaniem jest szybka reakcja na zagrożenie, zwłaszcza w przypadku infekcji bakteryjnych. Wyobraź sobie, że neutrofile to takie "pożeracze" ich podstawową funkcją jest fagocytoza, czyli pochłanianie i trawienie bakterii, grzybów oraz martwych komórek. Kiedy dochodzi do infekcji, szybko migrują do miejsca zapalenia, aby zneutralizować intruza.
Limfocyty: Elitarne jednostki rozpoznające i zwalczające wirusy
Limfocyty, stanowiące około 20-45% białych krwinek, to z kolei elitarne jednostki naszego układu odpornościowego, odpowiedzialne za tak zwaną odporność swoistą (nabytą). Ich rola jest bardziej złożona potrafią rozpoznawać konkretne zagrożenia, takie jak wirusy, a także niektóre bakterie czy komórki nowotworowe. Co więcej, limfocyty mają zdolność do "zapamiętywania" patogenów, dzięki czemu przy ponownym kontakcie z tym samym wrogiem, organizm jest w stanie zareagować znacznie szybciej i skuteczniej. Wyróżniamy dwa główne typy: limfocyty B, które produkują przeciwciała, oraz limfocyty T, które bezpośrednio niszczą zainfekowane komórki i regulują odpowiedź immunologiczną.
Dlaczego równowaga między nimi jest kluczowa dla zdrowia?
Zarówno neutrofile, jak i limfocyty są niezbędne dla prawidłowego funkcjonowania naszego układu odpornościowego. Ich wzajemna równowaga jest kluczowa dla zdrowej odpowiedzi immunologicznej. Przesunięcie w tej równowadze, na przykład więcej limfocytów i mniej neutrofili, jest dla lekarza cenną wskazówką. Sugeruje, że organizm aktywnie walczy z określonym typem zagrożenia, a w przypadku takiego obrazu krwi, bardzo często jest to infekcja wirusowa. To właśnie ta zmiana proporcji mówi nam najwięcej o tym, co dzieje się w Twoim ciele.
Twój wynik morfologii: Co oznacza wzrost limfocytów i spadek neutrofili?
Gdy patrzysz na swój wynik morfologii, możesz poczuć się zagubiony w gąszczu liczb i skrótów. Skupmy się na tym, co najważniejsze, czyli na zrozumieniu, co oznacza ten konkretny wzorzec: podwyższone limfocyty i obniżone neutrofile.Wartości procentowe vs. bezwzględne: Na które liczby naprawdę trzeba patrzeć?
To jest jeden z najważniejszych punktów, na który zawsze zwracam uwagę. W wynikach morfologii często widzimy zarówno wartości procentowe (np. 30% limfocytów), jak i wartości bezwzględne (np. 1,5 x 10⁹/l limfocytów). Chociaż wartości procentowe mogą dać ogólny obraz, to wartości bezwzględne są kluczowe dla dokładnej interpretacji. Dlaczego? Ponieważ wartości procentowe mogą być mylące, jeśli całkowita liczba białych krwinek (WBC) jest nieprawidłowa. Na przykład, jeśli całkowita liczba WBC jest bardzo niska, nawet "normalny" procent limfocytów może oznaczać ich faktyczny niedobór. Dlatego zawsze patrzymy na liczby wyrażone w G/l lub x10⁹/l.
Zrozumienie norm: Jakie są prawidłowe wartości dla dorosłych, a jakie dla dzieci?
Normy dla poszczególnych parametrów krwi mogą się nieznacznie różnić w zależności od laboratorium, dlatego zawsze należy odnosić się do zakresów podanych na wydruku Twoich wyników. Pamiętaj też, że normy dla dzieci są zupełnie inne niż dla dorosłych i zmieniają się wraz z wiekiem dziecka. Oto typowe zakresy dla dorosłych:
- Neutrofile: Zwykle 1,8-8,0 x 10⁹/l (co stanowi około 47-72% wszystkich białych krwinek).
- Limfocyty: Zwykle 1,0-4,5 x 10⁹/l (co stanowi około 19-37% wszystkich białych krwinek).
Wartości poniżej lub powyżej tych zakresów wskazują na odchylenia, które wymagają dalszej analizy.
Limfocytoza i neutropenia: Jak medycyna nazywa Twój wynik?
W języku medycznym wzrost liczby limfocytów nazywamy limfocytozą, natomiast spadek liczby neutrofili to neutropenia. Kiedy mamy do czynienia z sytuacją, w której limfocyty są podwyższone, a neutrofile obniżone, lekarze często mówią o względnej limfocytozie z neutropenią. To właśnie ten wzorzec jest najczęściej obserwowany w przebiegu infekcji wirusowych i jest sygnałem, że Twój układ odpornościowy aktywnie walczy z intruzem, wykorzystując swoje "elitarne jednostki" limfocyty.

Najczęstszy winowajca: Infekcje wirusowe jako główna przyczyna takich wyników
Jeśli masz podwyższone limfocyty i obniżone neutrofile, istnieje bardzo duże prawdopodobieństwo, że Twój organizm walczy z infekcją wirusową. To jest zdecydowanie najczęstsza przyczyna takiego obrazu krwi i, co ważne, w większości przypadków nie jest powodem do paniki.
Przeziębienie, grypa, mononukleoza: Jak wirusy przejmują kontrolę nad białą krwinką?
Infekcje wirusowe są mistrzami w manipulowaniu naszym układem odpornościowym. Kiedy wirus atakuje, organizm w pierwszej kolejności mobilizuje limfocyty, ponieważ to one są główną bronią przeciwko patogenom wewnątrzkomórkowym, do których należą wirusy. Wzrasta ich produkcja, a jednocześnie, w odpowiedzi na infekcję wirusową, szpik kostny może tymczasowo zmniejszyć produkcję neutrofili. To naturalna, choć często niepokojąca dla pacjenta, reakcja obronna. Typowe przykłady infekcji wirusowych, które mogą prowadzić do takiego obrazu krwi, to grypa, przeziębienie, mononukleoza zakaźna (choroba pocałunków), ospa wietrzna, różyczka czy infekcje adenowirusowe. Właśnie dlatego lekarz zawsze pyta o ostatnie infekcje, nawet te pozornie błahe.
Wynik jako echo przebytej walki: Jak długo morfologia wraca do normy po infekcji?
Warto pamiętać, że nasz organizm potrzebuje czasu na rekonwalescencję, a obraz krwi nie wraca do normy natychmiast po ustąpieniu objawów. Często bywa tak, że nawet kilka tygodni po przebytej infekcji wirusowej, limfocyty mogą być nadal podwyższone, a neutrofile obniżone. To jest zupełnie normalna część procesu zdrowienia i świadczy o tym, że układ odpornościowy wciąż "sprząta" po walce i odbudowuje swoje zasoby. Dlatego też lekarz często zaleca powtórzenie badania po pewnym czasie aby sprawdzić, czy parametry wracają do normy.
Czy to na pewno wirus? Kiedy podejrzewać można inne, rzadsze infekcje
Choć infekcje wirusowe są najczęstsze, nie można całkowicie wykluczyć innych przyczyn. W rzadszych przypadkach, niektóre infekcje bakteryjne mogą również prowadzić do wzrostu limfocytów. Przykładami są gruźlica, kiła czy krztusiec. W takich sytuacjach jednak, zazwyczaj występują inne, bardzo charakterystyczne objawy kliniczne, które naprowadzają lekarza na właściwy trop. Zawsze podkreślam, że to właśnie całościowy obraz kliniczny, a nie tylko pojedynczy wynik, jest kluczowy dla postawienia diagnozy.
Kiedy wynik powinien wzbudzić czujność? Poznaj mniej powszechne przyczyny
Chociaż najczęściej taki obraz krwi wskazuje na infekcję wirusową, istnieją sytuacje, w których podwyższone limfocyty i obniżone neutrofile mogą być sygnałem poważniejszych schorzeń. Zawsze należy o tym pamiętać i dlatego tak ważna jest konsultacja z lekarzem, który oceni Twój indywidualny przypadek.
Gdy organizm atakuje sam siebie: Rola chorób autoimmunologicznych
Choroby autoimmunologiczne to grupa schorzeń, w których układ odpornościowy, zamiast chronić organizm, zaczyna atakować jego własne tkanki. W niektórych przypadkach, takich jak reumatoidalne zapalenie stawów czy toczeń rumieniowaty układowy, może dochodzić do niszczenia neutrofili, co prowadzi do ich obniżenia. Jednocześnie, w odpowiedzi na przewlekły stan zapalny i nieprawidłową aktywność układu odpornościowego, może dochodzić do reaktywnego wzrostu liczby limfocytów. To złożony mechanizm, który wymaga szczegółowej diagnostyki.
Ukryte niedobory: Czy brak witaminy B12 lub kwasu foliowego może namieszać w wynikach?
Niedobory niektórych witamin, zwłaszcza witaminy B12 i kwasu foliowego, mogą mieć znaczący wpływ na proces produkcji krwinek w szpiku kostnym. Są to substancje niezbędne do prawidłowego dojrzewania komórek krwiotwórczych. Ich brak może prowadzić do zaburzeń w produkcji wszystkich linii komórkowych, w tym neutrofili. W efekcie, możemy zaobserwować ich obniżenie, co w połączeniu z innymi czynnikami, może dawać obraz podobny do tego, o którym rozmawiamy.
Leki, które wpływają na Twoją krew: Które preparaty mogą zmieniać obraz morfologii?
Niektóre leki, które przyjmujemy na co dzień, mogą mieć wpływ na poziom białych krwinek. Do tej grupy należą na przykład niektóre leki przeciwpadaczkowe, niektóre antybiotyki, leki przeciwtarczycowe czy chemioterapeutyki. Zawsze, kiedy idziesz do lekarza z wynikami badań, powinieneś poinformować go o wszystkich przyjmowanych lekach, zarówno tych na receptę, jak i bez recepty, a także o suplementach. To bardzo ważna informacja, która może pomóc w prawidłowej interpretacji wyników.
Czerwona flaga w badaniach: Kiedy myśleć o chorobach szpiku kostnego i hematologicznych?
To jest ten scenariusz, który najbardziej niepokoi pacjentów i muszę przyznać, że jest to "czerwona flaga", którą lekarz zawsze bierze pod uwagę, choć jest to rzadsza przyczyna. W bardzo rzadkich przypadkach, szczególnie gdy wartości limfocytów są znacznie podwyższone (często do bardzo wysokich poziomów) lub gdy nieprawidłowości utrzymują się przez długi czas i towarzyszą im inne niepokojące objawy, taki wynik może wskazywać na choroby szpiku kostnego lub nowotwory układu krwiotwórczego, takie jak przewlekła białaczka limfocytowa (CLL). W takich sytuacjach konieczna jest pilna i pogłębiona diagnostyka hematologiczna. Jednak podkreślam, że to są rzadkie przypadki i nie należy od razu zakładać najgorszego. Dlatego tak ważna jest ocena medyczna, która pozwoli na wykluczenie lub potwierdzenie poważniejszych schorzeń.
Morfologia u najmłodszych: Dlaczego u dzieci taki wynik to często norma?
Rodzice, którzy otrzymują wyniki morfologii swoich dzieci z podwyższonymi limfocytami i obniżonymi neutrofilami, często wpadają w panikę. Chcę Was uspokoić: u dzieci taki obraz krwi jest znacznie częstszy i w większości przypadków nie stanowi powodu do niepokoju. Układ odpornościowy maluchów działa zupełnie inaczej niż u dorosłych.
Dynamiczna odporność dziecka: Jak interpretować podwyższone limfocyty u maluchów?
Układ odpornościowy dziecka jest niezwykle dynamiczny i nieustannie uczy się walczyć z nowymi patogenami. Dzieci, zwłaszcza te w wieku przedszkolnym i wczesnoszkolnym, są narażone na niezliczone infekcje wirusowe, które są naturalnym elementem budowania ich odporności. Właśnie dlatego podwyższone limfocyty i obniżone neutrofile są bardzo częstym zjawiskiem podczas tych licznych infekcji wirusowych wieku dziecięcego. To po prostu świadczy o tym, że organizm dziecka aktywnie walczy z wirusem. Co więcej, normy dla dzieci różnią się od tych dla dorosłych i zmieniają się wraz z wiekiem, więc wynik, który u dorosłego byłby niepokojący, u dziecka może być całkowicie fizjologiczny.
Typowe infekcje wieku dziecięcego a obraz krwi
Praktycznie każda typowa dziecięca infekcja wirusowa może prowadzić do takiego obrazu krwi. Mówimy tu o zwykłych przeziębieniach, grypie, ospie wietrznej, odrze, różyczce, a także infekcjach górnych dróg oddechowych wywołanych przez różne wirusy. W tych przypadkach, limfocyty są mobilizowane do walki, a neutrofile mogą być tymczasowo obniżone. To naturalna reakcja obronna, która zazwyczaj ustępuje samoistnie wraz z wyleczeniem infekcji.
Kiedy rodzic powinien skonsultować wyniki z pediatrą?
Mimo że taki wynik u dziecka jest często normą, zawsze doradzam rodzicom konsultację wszelkich nieprawidłowych wyników badań krwi z pediatrą. Lekarz oceni całościowy stan dziecka, weźmie pod uwagę ewentualne objawy kliniczne, historię chorób oraz dynamikę wyników. Szczególną uwagę należy zwrócić, jeśli dziecko ma niepokojące objawy (np. wysoką gorączkę utrzymującą się długo, osłabienie, powiększone węzły chłonne), bardzo wysokie wartości odchyleń od normy lub jeśli nieprawidłowości utrzymują się przez dłuższy czas. Pediatra najlepiej oceni, czy potrzebne są dalsze badania, czy też wystarczy obserwacja.
Masz taki wynik: Co robić dalej? Praktyczny przewodnik krok po kroku
Otrzymanie nieprawidłowych wyników badań zawsze budzi niepokój, to naturalne. Jednak kluczem do prawidłowego postępowania jest zachowanie spokoju i podjęcie racjonalnych kroków. Oto mój praktyczny przewodnik, co robić dalej.
Krok 1: Nie panikuj i nie diagnozuj się sam. Dlaczego spokój jest kluczowy?
Wiem, że to łatwiej powiedzieć niż zrobić, ale zachowanie spokoju jest absolutnie kluczowe. Internet jest pełen informacji, które mogą być mylące lub wręcz przerażające, jeśli nie są interpretowane przez specjalistę. Pamiętaj, że podwyższone limfocyty i obniżone neutrofile są bardzo powszechnym wynikiem, często łagodnym i przejściowym, szczególnie w kontekście infekcji wirusowej. Samodzielne diagnozowanie się na podstawie pojedynczego wyniku może prowadzić do niepotrzebnego stresu i błędnych wniosków. Tylko lekarz, który zna Twoją historię medyczną i może ocenić cały obraz kliniczny, jest w stanie prawidłowo zinterpretować wyniki.
Krok 2: Umów wizytę u lekarza pierwszego kontaktu
Najlepszym i najbardziej odpowiedzialnym krokiem jest umówienie wizyty u Twojego lekarza rodzinnego lub pediatry (w przypadku dziecka). To właśnie lekarz pierwszego kontaktu jest osobą, która najlepiej zna Twój stan zdrowia. Podczas wizyty lekarz przeanalizuje Twoje wyniki morfologii krwi, zbierze szczegółowy wywiad medyczny (pytając o ostatnie infekcje, objawy, przyjmowane leki) i przeprowadzi badanie fizykalne. Te wszystkie elementy są niezbędne do postawienia wstępnej diagnozy i zaplanowania dalszych działań.Krok 3: Przygotuj się na powtórzenie badania dlaczego to standardowa procedura?
Bardzo często lekarz zaleci powtórzenie badania morfologii krwi po pewnym czasie, na przykład po 2-4 tygodniach. To standardowa i bardzo ważna procedura. Dlaczego? Ponieważ pozwala ocenić dynamikę zmian. Jeśli odchylenia były spowodowane infekcją wirusową, w większości przypadków parametry krwi zaczną wracać do normy. Powtórne badanie pomoże lekarzowi sprawdzić, czy zmiany są przejściowe i związane z przebytą infekcją, czy też utrzymują się, co mogłoby wskazywać na potrzebę dalszej diagnostyki. Nie traktuj tego jako "zbędnego" badania, a jako element świadomej diagnostyki.
Przeczytaj również: Podwyższony HDL: Kiedy "dobry cholesterol" nie jest idealny?
Jakie dodatkowe badania może zlecić lekarz, jeśli wyniki nie wrócą do normy?
Jeśli po powtórzeniu badania wyniki nadal będą odbiegać od normy lub jeśli lekarz uzna to za konieczne na podstawie Twojego stanu klinicznego, może zlecić dodatkowe badania, aby pogłębić diagnostykę. Mogą to być:
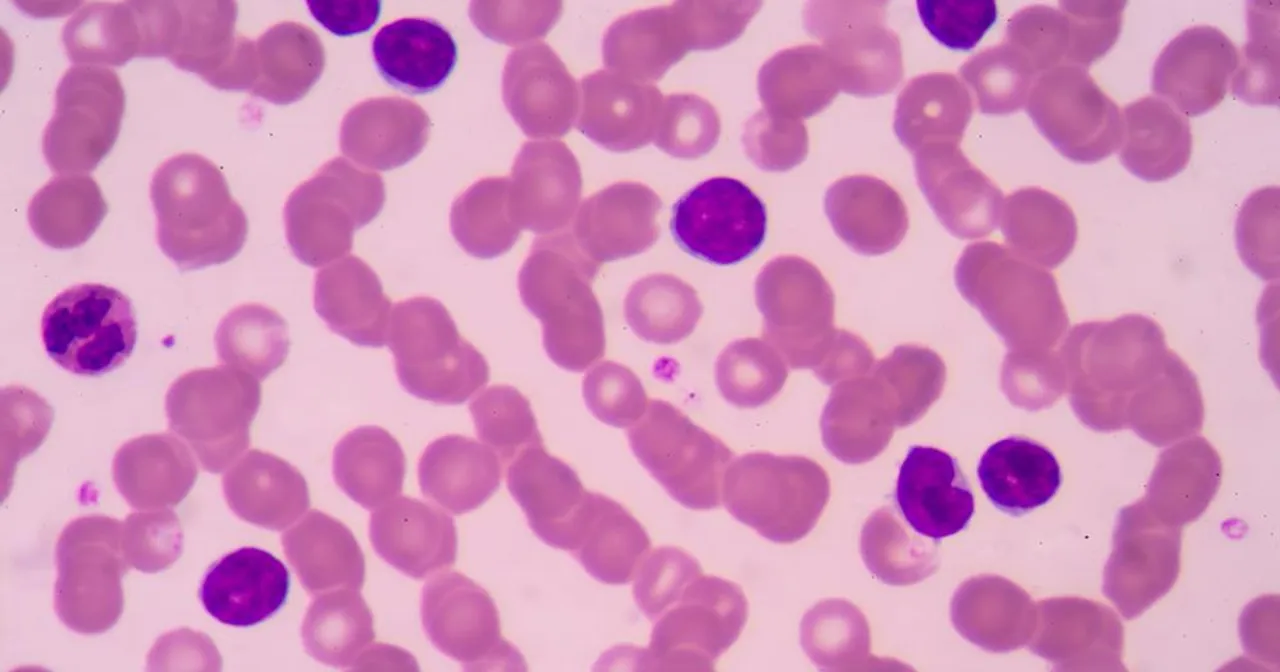
- Rozmaz ręczny krwi: Bardziej szczegółowa ocena wyglądu i proporcji poszczególnych komórek krwi pod mikroskopem, wykonywana przez doświadczonego diagnostę laboratoryjnego.
- Poziom białka C-reaktywnego (CRP): Pomaga ocenić, czy w organizmie toczy się stan zapalny i czy ma on charakter bakteryjny (zwykle wysokie CRP) czy wirusowy (zwykle niskie CRP).
- Poziom witaminy B12 i kwasu foliowego: W celu wykluczenia niedoborów, które mogą wpływać na produkcję krwinek.
- Badania serologiczne w kierunku konkretnych wirusów: Jeśli podejrzewa się mononukleozę, cytomegalię lub inne specyficzne infekcje wirusowe.
- Konsultacja hematologiczna: W przypadku bardzo dużych i utrzymujących się odchyleń, które nie znajdują wyjaśnienia w typowych infekcjach, lekarz może skierować Cię do hematologa specjalisty chorób krwi.