Otrzymanie wyniku badania krwi z podwyższonym poziomem limfocytów w rozmazie może wywołać niepokój. W tym artykule postaram się wyjaśnić, czym dokładnie są limfocyty, co oznacza ich podwyższony poziom, czy zawsze świadczy to o chorobie i jakie kroki należy podjąć po otrzymaniu takiego wyniku, aby rozwiać obawy i dostarczyć rzetelnej wiedzy.
Podwyższony poziom limfocytów w rozmazie krwi może być naturalną reakcją lub sygnałem do dalszej diagnostyki.
- Limfocyty to kluczowe białe krwinki odpowiedzialne za odporność organizmu.
- Normy limfocytów różnią się w zależności od wieku, u dzieci są fizjologicznie wyższe.
- Wzrost limfocytów często jest naturalną reakcją na infekcje, zwłaszcza wirusowe.
- Długotrwała limfocytoza lub obecność nieprawidłowych komórek może wskazywać na poważniejsze schorzenia, w tym nowotwory krwi.
- Kluczowa jest interpretacja wartości bezwzględnej limfocytów oraz konsultacja wyniku z lekarzem.
- Leczenie zawsze skupia się na przyczynie limfocytozy, a nie na samym obniżaniu poziomu limfocytów.

Podwyższone limfocyty w rozmazie krwi: Powód do niepokoju czy naturalna reakcja organizmu
Kiedy odbieramy wyniki badań krwi i widzimy strzałkę w górę przy pozycji "limfocyty", naturalnie pojawia się pytanie: czy to powód do paniki? Moje doświadczenie pokazuje, że podwyższony poziom limfocytów nie zawsze jest sygnałem poważnej choroby, ale zawsze wymaga uwagi i odpowiedniej interpretacji. Zrozumienie roli tych komórek w naszym organizmie jest kluczowe, aby właściwie ocenić sytuację i podjąć dalsze kroki.
Czym są limfocyty i dlaczego ich poziom jest kluczowym wskaźnikiem zdrowia?
Limfocyty to niezwykle ważny rodzaj białych krwinek, czyli leukocytów, które stanowią fundament naszego układu odpornościowego. Ich głównym zadaniem jest rozpoznawanie i zwalczanie różnego rodzaju patogenów od wirusów i bakterii, przez grzyby, aż po komórki nowotworowe. Działają jak wyspecjalizowani żołnierze, którzy patrolują organizm i reagują na wszelkie zagrożenia. Badanie ich poziomu w morfologii krwi z rozmazem dostarcza cennych informacji o kondycji naszego systemu obronnego. Właśnie dlatego wszelkie odchylenia od normy są dla lekarza sygnałem, że w organizmie dzieje się coś, co wymaga dalszej analizy.
Rozmaz manualny vs. automatyczny: Dlaczego dokładna ocena komórek ma znaczenie?
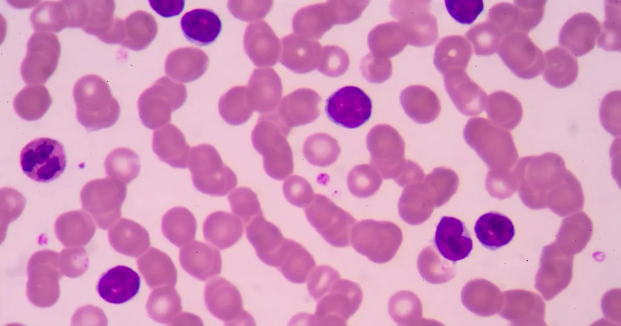
Współczesne laboratoria korzystają z zaawansowanych analizatorów automatycznych, które w mgnieniu oka dostarczają nam kompleksowe wyniki morfologii krwi. Są one niezwykle szybkie i precyzyjne w liczeniu komórek. Jednak w przypadku, gdy wynik automatyczny wskazuje na nieprawidłowości, zwłaszcza w kontekście limfocytów, nieoceniony staje się manualny rozmaz krwi. To właśnie diagnostyk laboratoryjny, oglądając próbkę pod mikroskopem, jest w stanie ocenić morfologię, czyli kształt, wielkość i strukturę komórek. Ta dokładna ocena jest kluczowa, ponieważ nieprawidłowa budowa limfocytów może wskazywać na poważniejsze schorzenia, takie jak nowotwory krwi. Automatyczny analizator może policzyć, ale nie zawsze "zobaczy" subtelne zmiany, które dla doświadczonego oka są sygnałem alarmowym.
Jak prawidłowo odczytać swój wynik? Normy limfocytów dla dorosłych i dzieci
Zrozumienie, co oznaczają liczby na naszym wyniku badania krwi, jest pierwszym krokiem do spokoju lub podjęcia dalszych działań. Pamiętajmy, że prawidłowa interpretacja wyniku wymaga znajomości norm referencyjnych, które mogą się różnić w zależności od wieku, a nawet laboratorium. Zawsze patrzmy na zakresy podane na naszym konkretnym wydruku.
Wartość procentowa czy bezwzględna na który parametr zwrócić szczególną uwagę?
To bardzo ważne rozróżnienie, które często umyka pacjentom. Na wyniku morfologii krwi znajdziemy zarówno wartość procentową limfocytów (np. 40%), jak i ich wartość bezwzględną (np. 2,0 x 10⁹/l). Moje doświadczenie podpowiada, że kluczowa jest interpretacja wartości bezwzględnej, czyli faktycznej liczby komórek w mikrolitrze krwi, a nie tylko ich udziału procentowego w ogólnej liczbie białych krwinek. Wyobraźmy sobie sytuację, że ogólna liczba białych krwinek jest niska. Wtedy nawet standardowy procent limfocytów może oznaczać ich faktyczny niedobór. Z kolei, jeśli ogólna liczba leukocytów jest bardzo wysoka, procent limfocytów może być w normie, ale ich bezwzględna liczba będzie znacznie podwyższona, co ma już inne znaczenie kliniczne.
Aktualne normy limfocytów dla dorosłych: Kiedy wynik jest w normie?
Dla osób dorosłych norma poziomu limfocytów zazwyczaj mieści się w przedziale od 1,5 do 4,5 x 10⁹/l (lub 1500-4500 komórek/µl). Procentowo stanowi to zwykle od 20% do 45% wszystkich białych krwinek. Warto jednak zawsze pamiętać, że te wartości mogą się nieznacznie różnić w zależności od laboratorium, dlatego zawsze należy odnosić się do zakresu referencyjnego podanego bezpośrednio na naszym wyniku badania. Jeśli Twój wynik mieści się w tych widełkach, to z perspektywy limfocytów wszystko jest w porządku.
Dlaczego u dzieci normy są inne? Fizjologiczna limfocytoza u najmłodszych.
To, co u dorosłego byłoby powodem do niepokoju, u dziecka może być zupełnie normalne. Dzieci, zwłaszcza te najmłodsze, posiadają fizjologicznie wyższy poziom limfocytów niż dorośli. Jest to związane z intensywnym rozwojem ich układu odpornościowego, który uczy się rozpoznawać i zwalczać niezliczone patogeny, z którymi styka się po raz pierwszy. Przykładowo, u noworodków normy mogą sięgać nawet 10 tys. /µl, u dzieci w wieku 1-6 lat to około 1,8-8,4 tys. /µl, a u tych w wieku 6-12 lat 1,5-5,0 tys. /µl. Ta tak zwana fizjologiczna limfocytoza stopniowo ustępuje i poziomy limfocytów zbliżają się do norm dorosłych zazwyczaj około 4-6 roku życia. Dlatego wynik dziecka zawsze musi być interpretowany z uwzględnieniem jego wieku.
Najczęstsze przyczyny podwyższonych limfocytów od infekcji po poważniejsze schorzenia
Podwyższony poziom limfocytów, czyli limfocytoza, to sygnał, że nasz organizm na coś reaguje. Przyczyn może być wiele, od tych zupełnie łagodnych i przejściowych, po znacznie poważniejsze. Moim zdaniem, kluczowe jest zrozumienie tego spektrum, aby nie wpadać w panikę, ale jednocześnie nie lekceważyć potencjalnych zagrożeń.
Gdy organizm walczy: Jak infekcje wirusowe i bakteryjne wpływają na poziom limfocytów?
Najczęstszą i najbardziej naturalną przyczyną wzrostu liczby limfocytów są infekcje, zwłaszcza wirusowe. Kiedy wirus atakuje nasz organizm, limfocyty ruszają do walki, a ich produkcja wzrasta. To właśnie dlatego podwyższone limfocyty często obserwujemy w przebiegu mononukleozy zakaźnej, grypy, odry, świnki, różyczki, ospy wietrznej czy cytomegalii. Jest to po prostu zdrowa odpowiedź układu odpornościowego. Niektóre infekcje bakteryjne, takie jak krztusiec czy gruźlica, również mogą prowadzić do limfocytozy. W takich przypadkach wzrost limfocytów jest zazwyczaj przejściowy i ustępuje po wyleczeniu infekcji.
Choroby przewlekłe i autoimmunologiczne jako ukryte źródło limfocytozy.
Nie tylko ostre infekcje mogą wpływać na poziom limfocytów. Czasami podwyższone limfocyty są sygnałem toczących się w organizmie procesów przewlekłych, w tym chorób autoimmunologicznych. W takich schorzeniach, jak na przykład reumatoidalne zapalenie stawów, układ odpornościowy mylnie atakuje własne tkanki, co może prowadzić do przewlekłej aktywacji limfocytów i ich zwiększonej liczby. Podobnie, nadczynność tarczycy, reakcje na niektóre leki, długotrwały stres, a nawet stan po usunięciu śledziony (która jest ważnym organem limfatycznym) mogą przyczyniać się do limfocytozy. W tych sytuacjach limfocytoza jest raczej objawem niż samodzielną chorobą.Limfocytoza a nowotwory krwi: Kiedy wynik powinien skłonić do pilnej konsultacji z hematologiem?
Muszę to jasno powiedzieć: choć najczęściej podwyższone limfocyty nie oznaczają niczego groźnego, to w pewnych okolicznościach mogą być sygnałem poważnych schorzeń, w tym nowotworów układu chłonnego. Szczególnie niepokojąca jest limfocytoza, która utrzymuje się przez długi czas, nie ustępuje po wyleczeniu infekcji i nie ma dla niej innej oczywistej przyczyny. Alarmujący jest również wynik rozmazu manualnego, w którym diagnostyk obserwuje komórki o nieprawidłowej budowie tak zwane atypowe limfocyty. W takich przypadkach, zwłaszcza u dorosłych, trzeba pilnie skonsultować się z hematologiem. Do najczęstszych nowotworowych przyczyn limfocytozy należą przewlekła białaczka limfocytowa (CLL), ostra białaczka limfoblastyczna (ALL) oraz chłoniaki.
Inne, rzadsze przyczyny: Rola stresu, leków i wysiłku fizycznego.
Oprócz wspomnianych już przyczyn, istnieją również inne, mniej typowe czynniki, które mogą wpływać na poziom limfocytów. Na przykład, reakcje na niektóre leki (np. niektóre antybiotyki czy leki przeciwpadaczkowe) mogą wywołać przejściową limfocytozę. Długotrwały, silny stres również potrafi zaburzyć równowagę w układzie odpornościowym, prowadząc do zmian w liczbie białych krwinek. Nawet intensywny wysiłek fizyczny, zwłaszcza u osób niewytrenowanych, może chwilowo podnieść poziom limfocytów. Są to jednak zazwyczaj sytuacje przejściowe i niegroźne, ale warto o nich pamiętać, analizując swój wynik.
Mój wynik jest podwyższony co robić krok po kroku?
Otrzymanie wyniku z podwyższonymi limfocytami może być stresujące, ale najważniejsze to zachować spokój i podejść do sytuacji metodycznie. Pamiętaj, że interpretacja wyników badań to zadanie dla lekarza, a ten rozdział ma charakter wyłącznie informacyjny.
Analiza bez paniki: Jak interpretować wynik w kontekście objawów i samopoczucia?
Przede wszystkim nie panikuj. Moje doświadczenie pokazuje, że jednorazowy wynik podwyższonych limfocytów, zwłaszcza jeśli jesteś w trakcie lub tuż po infekcji, zazwyczaj nie jest powodem do dużego niepokoju. Wiele osób otrzymuje takie wyniki po przeziębieniu czy grypie. Zastanów się, czy masz jakieś objawy gorączkę, osłabienie, powiększone węzły chłonne, nocne poty, niezamierzoną utratę wagi. Czy czujesz się ogólnie dobrze? Brak niepokojących objawów w połączeniu z podwyższonymi limfocytami często oznacza, że organizm po prostu walczył lub walczy z drobnoustrojami. Zawsze jednak warto obserwować swoje samopoczucie i wszelkie niepokojące zmiany zgłaszać lekarzowi.
Kiedy należy powtórzyć badanie i jakie dodatkowe testy może zlecić lekarz?
Jeśli podwyższone limfocyty pojawiły się w kontekście infekcji i nie towarzyszą im inne niepokojące objawy, lekarz najprawdopodobniej zaleci kontrolne badanie morfologii krwi z rozmazem po kilku tygodniach. Jeśli wynik wróci do normy, sprawa jest zamknięta. Jednakże, jeśli limfocytoza utrzymuje się długotrwale, jest bardzo wysoka, lub co gorsza, w rozmazie manualnym stwierdzono nieprawidłowości w wyglądzie komórek, lekarz może zlecić dodatkowe, bardziej szczegółowe badania. Mogą to być badania serologiczne w kierunku konkretnych wirusów (np. EBV, CMV), badania szpiku kostnego, a także cytometria przepływowa, która pozwala dokładnie określić typ i charakter limfocytów. Te testy pomagają ustalić dokładną przyczynę limfocytozy.
Przeczytaj również: Podwyższone trójglicerydy: Jak obniżyć i chronić serce?
Rola lekarza rodzinnego i hematologa w procesie diagnostycznym.
Twój lekarz rodzinny jest pierwszym i najważniejszym punktem kontaktu. To on, znając Twój wywiad medyczny i ogólny stan zdrowia, najlepiej oceni wstępnie sytuację. Zinterpretuje wyniki, zbierze wywiad, przeprowadzi badanie fizykalne i zdecyduje o dalszym postępowaniu. Jeśli uzna, że limfocytoza jest niepokojąca, utrzymuje się lub towarzyszą jej inne objawy wskazujące na poważniejsze schorzenia, skieruje Cię do specjalisty hematologa. Hematolog to lekarz zajmujący się chorobami krwi i układu krwiotwórczego. Ma on wiedzę i narzędzia diagnostyczne, aby w sposób kompleksowy zbadać przyczynę podwyższonych limfocytów i zaplanować ewentualne leczenie.
Czy można "leczyć" podwyższone limfocyty? Prawda i mity o obniżaniu ich poziomu
Wielu pacjentów, widząc podwyższone limfocyty, pyta: "Jak mogę je obniżyć?". To naturalne pytanie, ale kryje się za nim pewne nieporozumienie. Limfocytoza nie jest chorobą samą w sobie, lecz objawem, wskaźnikiem, że w organizmie dzieje się coś, co wpływa na układ odpornościowy. To jak gorączka nie leczymy gorączki, lecz chorobę, która ją wywołuje.
Dlatego też, leczenie zawsze koncentruje się na przyczynie limfocytozy, a nie na obniżaniu samego poziomu limfocytów. Jeśli przyczyną jest infekcja wirusowa, limfocyty wrócą do normy po jej wyleczeniu. Jeśli jest to choroba autoimmunologiczna, leczenie będzie ukierunkowane na kontrolę tej choroby. W przypadku nowotworów krwi, leczenie będzie miało na celu zwalczanie komórek nowotworowych. Jakiekolwiek próby "obniżania" limfocytów bez zdiagnozowania i leczenia choroby podstawowej są nie tylko nieskuteczne, ale mogą być wręcz szkodliwe, maskując prawdziwą przyczynę i opóźniając właściwą terapię. Zawsze konsultuj swoje wyniki z lekarzem i unikaj samodzielnych prób leczenia czy interpretacji, które mogą prowadzić do błędnych wniosków i niepotrzebnego stresu.